春日部エンゼル歯科クリニックは、埼玉県春日部市のララガーデン春日部内にある歯医者(歯科医院)です。
虫歯・歯周病、入れ歯・義歯、予防歯科、小児歯科、矯正歯科、ホワイトニング、審美歯科の治療が受けられます。

〒344-0064 埼玉県春日部市南1-1-1 ララガーデン春日部1階
東武アーバンパークライン・東武スカイツリーライン「春日部駅」西口より徒歩4分

ご予約・お問い合わせはこちらへ

048-797-9752
診療時間
10:00~13:30/15:00~20:00

年中無休で診療しています(1/1~1/3を除く)

矯正歯科

sozai_6.jpg

乱れた歯並びや、噛み合わせを正しい位置へと整える治療法が「矯正治療」です。
歯並びが綺麗だと見た目が良いだけでなく、噛み合わせや発音、全身の健康にも効能があります。また歯並びが整うことで、歯磨きが十分にできるようになり、虫歯や歯周病を予防できるといったメリットがあります。

  • 虫歯や歯周病になりやすい。
  • 食べ物が良く噛めず、発育や健康に悪い影響がでる場合がある。
  • 発音に影響がでる場合がある。
  • 顎の成長に悪影響を与えることがある。
  • 歯並びが気になって、人前で笑えなかったり、話ができなかったりなど心理的に悪い影響を与える場合がある。

「装置が見えるのが嫌で矯正はしたいけどできない」と、抵抗がある方も少なくないかと思います。しかし最近では、矯正装置が見えにくい半透明のものや、歯の裏側につける裏側矯正などもありますので、矯正治療に踏み切れなかった方でも人の目を気にすることなく治療が可能です。

当院では専門の矯正歯科医が治療を行っていますので、歯並びや噛み合わせでお悩みの方はお気軽にご相談ください。

矯正治療の流れ

初診相談

歯並びや噛み合わせなど、矯正治療についてご相談ください。
お口の中を拝見し、矯正治療の概要についてご説明します。

精密検査

口の中の写真、レントゲン写真、顔写真、歯型などをとり、診断に必要な検査を行います。

診断

検査結果をもとに使用する矯正装置やおおよその治療期間、費用など、今後の治療方針について分かりやすく丁寧にご説明します。

治療開始

検査結果をもとに使用する矯正装置を装着し、治療開始。
矯正装置についての説明、歯磨き方法などをアドバイスします。

調整

月に1回程度ご来院いただき、矯正装置の調整やお口の中のチェックを行います。

保定

キレイになった歯並びや噛み合わせが安定するまで、保定装置を用いて定期的にチェックを行います。

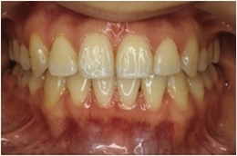
矯正治療の症例

kyousei1-1.jpg

治療前

kyousei1-2.jpg

治療後

kyousei2-1.jpg

治療前

kyousei2-2.jpg

治療後

kyousei3-1.jpg

治療前

kyousei3-2.jpg

治療後

kyousei4-1.jpg
kyousei4-2.jpg
治療前
kyousei5-1.jpg

治療前

治療後
kyousei5-2.jpg

治療後